
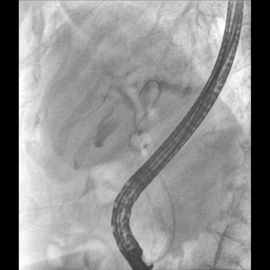
具备血管造影及数字减影(DSA)、路径图(Road-map)、透视、摄影等功能。 广泛适用于介入科、血管外科、肿瘤科、消化内科及骨科等多个临床科室,典型应用包括:TACE(肝肿瘤栓塞与化疗灌注术)、心脏起搏器置入术、四肢动脉造影术、下肢静脉滤器置入术、ERCP(经内镜逆行胰胆管造影术)等。
注册证编号:国械注准20263060220
广告批准文号:苏械广审(文)第271119-05802号

核心DSA软件可实时生成高清血管影像,结合路径图功能,在手术中为医生提供血管导航。
设备搭载自主研发的大功率高压发生器、高热容球管与大尺寸平板探测器,配合先进图像处理算法及高效冷却循环系统,能够在长时间手术过程中持续输出高清图像并保持帧率稳定。

预留高压注射器联动接口,C形臂开始透视时,高压注射器自动注入造影剂,提高术中造影减影效率,减少医师手推造影剂所受到的辐射暴露剂量。
通过床旁控制器,可以完成设备的运动控制、曝光参数调节、图像的浏览和保存等常规操作。