PLX118WF系列

移动式平板C形臂X射线机

随心而动 无限可能 PLX118WF

PLX118WF 系列移动式平板C形臂X射线机

大尺寸动态平板探测器,图像清晰细腻,满足临床多种检查。采用了多分辨率图像增强处理技术,不同部位不同图像处理。

注册证编号:苏械注准20172060290

广告批准文号:苏械广审(文)第270227-19900号

小巧灵活  操控自如

无线工作站

C形臂主机与工作站之间无电缆连接,自由移动,快捷方便。

双向定位

实现无射线下的高效定位。

灯光指示

设有预警、曝光、故障等不同的灯光提示,大角度观察机器的工作状态。


智能设计  有效防护

采用智能变频低剂量脉冲透视技术

为临床工作带来安全保障。

智能低剂量模式

有效降低辐射剂量。

隔室曝光

无线工作站,可隔室曝光,有效防护辐射,保障医护人员健康。


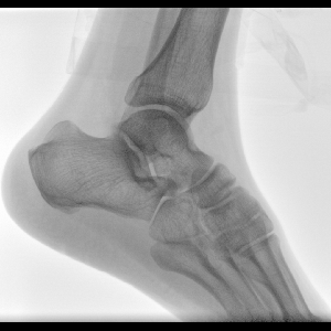
Clinical picture
临床图片
Clinical picture
产品视频